うさぎの鼻水・クシャミ・涙…スナッフルについて
うさぎと暮らす人なら、聞いたことある方も多い?スナッフルという単語
これは病名ではなく、鼻水・クシャミ・涙など一連の症状の俗称になります
スナッフルという病気がある訳ではありません
原因としては
①感染(細菌・真菌・ウイルスなど)
②歯根の不正
③異物(牧草の粉末など)
④腫瘍
などが挙げられます
最も多いのは細菌感染、その中でもPasteurella multocida(パスツレラ)の感染が一番多いとされています
他にも緑膿菌・ブドウ球菌・Bordetella bronchisepticaなどの感染の報告があります
B.bronchisepticaはウサギの呼吸器の常在菌で、単独で発症することはほぼ無いですが、P.multocida の感染を助長すると考えられています
— 脱兎マン@白兎どうぶつ病院 25年春開業 (@dattman2024) April 24, 2024
さらに感染が鼻腔から拡がっていくと、涙や前庭障害に繋がっていくこともあります
ウサギでは鼻腔の細菌感染が耳管を介して中耳・内耳にまで波及して、細菌性中内耳炎→斜頸や眼振などの前庭障害にまで繋がる可能性があります
また、感染が鼻涙管にまで波及すると、鼻涙管の腫脹や炎症による閉塞が起き、流涙や眼周囲の皮膚炎が見られるようになります#ウサギ #うさぎ https://t.co/2oLc8OJXp4 pic.twitter.com/2q2tiHY6to
— 脱兎マン@白兎どうぶつ病院 25年春開業 (@dattman2024) April 26, 2024
前庭障害について詳しくはこちら
ウサギの斜頸、眼振、ローリング…前庭障害について
また、鼻涙管とは目と鼻を繋いでる管になり、目で作られた涙の一部はここを通って鼻水として排泄されます
私たちが泣く時、鼻水も増えるのは鼻涙管を伝って出てきてるからです
目と鼻を繋いでいる鼻涙管、ここが詰まると涙が出やすくなり目周りが湿ってきます。
程度によりますが、放置しておくと毛玉になり皮膚炎を起こして目の周りが真っ赤になってハゲてしまう場合があります#ウサギ #うさぎ pic.twitter.com/xs3jc9AB0s
— 脱兎マン@白兎どうぶつ病院 25年春開業 (@dattman2024) October 6, 2023
涙が出ている時は他にも色々原因が考えられます
クシャミや鼻水の有無、食欲はあるか、目は痛そうではないかなどを見て総合的に考えます
ウサギで涙が多い時は
・眼自体の問題
・不正咬合により歯が口腔内を刺激する
・歯根での炎症等により鼻涙管が閉塞の3つが主な原因です
ウサギの涙はネチョネチョしている為、放っておくと毛に絡んで皮膚炎を起こします
原因が何であれ、涙が多い時は拭いといてあげましょう#ウサギ #うさぎ pic.twitter.com/MxJ3qenpQA
— 脱兎マン@白兎どうぶつ病院 25年春開業 (@dattman2024) January 6, 2024
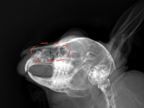
上顎臼歯(上側の奥歯)の歯根が不正なために炎症や感染を起こしてスナッフルの症状が出る時もあります
正常なうさぎの歯根と比べて揃っていない、ガタガタしているのがレントゲンで分かります
牧草の粉などの異物が入ってクシャミ、鼻水を引き起こすこともあります
牧草の粉が入ってしまい、クシャミを連続でしているウサギです
入った粉がクシャミにより出てしまえばその後問題はないのですが、出せなかった場合は慢性的な鼻炎に移行してしまうことがあります完全に防ぐのは難しいですが、なるべく粉っぽい牧草はやらないようにしましょう#ウサギ #うさぎ pic.twitter.com/i9VsD8YZou
— 脱兎マン@白兎どうぶつ病院 25年春開業 (@dattman2024) November 20, 2023
これらの感染・歯根の不正・異物はそれぞれが独立して起きるばかりでなく、複合的に病態が絡まっていることも多いです
診断・治療
軽症であれば、診断的治療として抗生物質の投与を行い反応を見ることもありますが、可能であれば投与の前に細菌培養薬剤感受性検査(どんな細菌が居て、どんな抗生物質が効くのかを調べる検査)を行なった方が良いです
うちのうさぎで検査を行なった時もありました
ウチのウサギ(きなこ)が最近クシャミ・鼻水が増えてきたので、細菌培養検査に出しました
細菌が2種類出たので、感受性見てST合剤飲ませて反応を見ます
牧草の粉など異物が入ったのがキッカケだとすると抗生剤だけでは良くなりきらないと思いますが、さてどうなるか🤔#ウサギ #うさぎ pic.twitter.com/0UO9KKdMmf
— 脱兎マン@白兎どうぶつ病院 25年春開業 (@dattman2024) June 29, 2024
重症例や慢性経過の例では、レントゲンで歯根や鼻腔内の異常が無いかを調べます
骨変形を起こして鼻腔内が白くモヤっと見えることがあります
まずは抗生物質の全身投与や点鼻、鼻涙管洗浄、ネブライジング(薬の成分を気化させて充満した部屋の中にしばらく入れておき、吸入させる治療法)などの内科治療で反応を見ます
ただ、慢性経過の例では反応に乏しく、再発することも多いです
上手くいかない原因として、慢性炎症による骨破壊、重度の蓄膿、肉芽腫、異物、腫瘍などが考えられます
こういった場合は、レントゲンよりもさらに詳しく調べる為にCTが必要になります
その後、鼻腔内の開通や洗浄・生検などを目的とした鼻骨切開術を検討することになります
当院にはCTは無いため、このような場合は近隣病院をご紹介させて頂くことになります
鼻骨切開術(円鉅術)の経過を写真付きでまとめた飼い主さんのブログがとても参考になりますので、気になる方は一度ご覧になってください(許可は頂いてます)
うさぎの鼻骨円鉅手術
かくいうウチのうさぎも、細菌検査で適した抗生物質の内服や点鼻、鼻涙管洗浄などの内科治療を行っていますが反応が悪く悩んでおります…
おそらく牧草の粉が入ってるのだと思うのでCTで評価すれば良いのでしょうが、症状がそこまで酷くないのと、乳腺腫瘍の手術を数ヶ月前にしたばかりでまた手術するかと言われると、うーん…という感じです
程度や年齢、状況によっては、内科治療で症状を緩和しながら付き合っていくのもありかなと個人的には思っています
ただ、重症例で鼻が詰まって息するのも苦しそうなどの場合は、まよわずCT・オペを検討すべきでしょう
最後に鼻腔内腫瘍について
うさぎにおいては報告が非常に少なく、未だわからないことが多いです
診断にはCTが有用です
鼻梁の変形が無いと特徴的な臨床症状は無い為、鼻炎や副鼻腔炎との鑑別は難しく、抗生剤などの内科治療に反応しない場合は最終的に鼻腔内腫瘍を疑い、頭部CTが推奨される
— 脱兎マン@白兎どうぶつ病院 25年春開業 (@dattman2024) April 29, 2024
番外編として、くしゃみをしているうさぎの鼻周りや陰部周りが赤くなってきたら、トレポネーマ(うさぎ梅毒)感染症が疑われます
ウサギがクシャミをしている、鼻周り・陰部周りが赤いってなるとトレポネーマ(ウサギ梅毒)かもしれません
梅毒と言ってもウサギ以外の動物に感染する訳ではないですが、早めに病院へ#うさぎ #ウサギ #トレポネーマ pic.twitter.com/xiBRdJxfRl— 脱兎マン@白兎どうぶつ病院 25年春開業 (@dattman2024) August 20, 2023
病態・原因・症状の程度など、スナッフルと一言で言ってもその実態は様々です
うさぎに少しでも快適な生活を提供できるよう、一緒に考えていきましょう








