うさぎが食べない! 原因と対応について
"昨日までもりもり食べてたのに、今日から急に食べなくなった"
"数日前から徐々に食べが悪くなってきた"
"ついさっきまで食べて走ってたのに、急に食べなくなって元気なさそうにしている"
うさぎが病院に来る理由として、圧倒的に多いのが食欲不振です
おそらく来院理由の7−8割くらいを占めていると思います
このような時は、胃腸の動きが何かしらの原因によって悪くなっていることが考えられます
胃腸の動きが悪くなることを、僕ら獣医師は"消化管鬱滞(うったい)"もしくは単に"鬱滞"と呼びます
そもそも”鬱滞”の意味とは?
広辞苑によると
物事が滞り、進まないこと。
(心理的に)気分がふさぎ、重苦しい状態になること。
うさぎでは胃腸の動きが悪くなって、内容物が上手く流れていかない為に食欲が落ちるって感じで覚えて頂けると良いと思います
では鬱滞はなぜ起きるのか
原因は多岐に渡ります
・不正咬合(歯並びが悪い)
・尿路結石
・腫瘍
・腎不全
・肝不全
・心臓病
・骨折
:
:
など、明らかな原因疾患がある場合と、口腔内検査・レントゲン検査・血液検査などを行なっても、特にこれといった原因が見当たらない場合とがあります
普段の診察では、後者の原因が見当たらない場合というのも多々あります
気温、湿度、気圧、繊維の少ない不適切な食事、環境の変化などによるストレスなど様々な要因が原因になり得ますが、特定するのは難しいことが多いです
原因がなんであれ、うさぎが食べなくなったら基本的には直ぐに病院へ連れて行った方が良いです
食欲不振により、ドミノ倒しのように全身に支障を来たすようになってきます

食欲不振によりエネルギーが不足すると、それを補う為に脂肪組織の分解が亢進し、分解された脂肪酸が肝臓に流入することで肝臓に過剰な脂肪が蓄積します、これを肝リピドーシスと呼び、肝機能の低下が続いて起こってきます
また、脂肪酸が分解される際にはケトン体という物質が産生され、この産生が過剰になると血液が酸性に傾いた状態(アシドーシス)になり、これをケトアシドーシスと呼びます
うさぎはアシドーシスを中和する為の代謝経路を持っていないため、致死的になります
こういった病態にまで進行させない為にも、食欲の低下が見られたら早めに病院へ連れていくべきなのです
鬱滞の症状、診断、治療
食欲の低下に伴い、排便量の減少・不整な便・便の小型化や大小不同が見られます
日頃から便の大きさや数を把握しておくことで、些細な変化にも気づきやすくなります
一般状態に変化は無く、一見元気に見えることも多いです
ただし、だからと言って様子を見ることは勧められませんうさぎはギリギリまで体調が悪いのを隠します
元気はあるんですけど食べなくて〜と、よく患者さんに言われますが、元気が無くなってきた、頭が上がらずグダっとしてきた時には、三途の川に片足突っ込んでるくらいに思ったほうが良いです
(師匠の受け売りの例え)
そうなる前に病院へ#うさぎ pic.twitter.com/atBk6goopx
— 獣医師 脱兎マン(25年春 大阪で開業) (@dattman2024) October 10, 2024
うさぎはギリギリまで体調が悪いのを隠します
— 脱兎マン@白兎どうぶつ病院 25年春開業 (@dattman2024) October 10, 2024
元気はあるんですけど食べなくて〜と、よく患者さんに言われますが、元気が無くなってきた、頭が上がらずグダっとしてきた時には、三途の川に片足突っ込んでるくらいに思ったほうが良いです
(師匠の受け売りの例え)
そうなる前に病院へ#うさぎ pic.twitter.com/atBk6goopx
腸内にガスが溜まってきたなどの理由で腹痛があると歯軋りをしたり、何度も体勢を変えようと体を捩ったりするなどの様子が見られます
診断としては、まずは触診で胃腸の固さや内容物の貯留具合、ガスの貯留程度、腫瘤状病変の有無などを探索します
そうしてお腹の中の状態をある程度予想した上でレントゲン検査に進みます
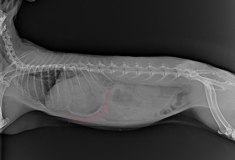
胃腸の内容物やガスの貯留具合は実際どうか、鬱滞を起こす原因となるようなものはないか(尿路結石や腹腔内腫瘍など)といったことを評価します
⇩正常なレントゲン像
⇩異常な量の消化管ガス貯留が見られた症例
⇩巨大な膀胱結石が見られた症例
その他、血液検査や口腔内検査などを行なった上で、明らかな原因が見当たらないかを確認していきます
⇩臼歯(奥歯)が不正咬合により過長し、舌や頬の粘膜を傷つけてた症例

食事が不適切であればまずそこを是正してもらい、明らかな原因疾患があればそちらを対処します
(うさぎの食事については別の記事で)
鬱滞の治療の中心は、点滴による脱水の補正・消化管運動促進薬の投与・強制給餌による繊維質と栄養の補給になります
点滴は、食欲が無い訳ではないがやや低下しているような軽症例では皮下点滴、食欲廃絶が1−2日続いているような重症例では重度の脱水を起こすため、静脈点滴が選択されます
消化管運動促進薬は、メトクロプラミド(商品名:プリンペラン)やモサプリド(商品名:プロナミドなど)が汎用されます
プリンペランはシロップで出す病院も多いですが、飲ませる量が少し多くなってしまうため、当院では粉薬で出して、少量の水で溶いたものをシリンジで飲ませてもらってます
強制給餌とは、普段食べさせてるペレットや強制給餌用の牧草を主原料としたパウダーを水などで溶き、シリンジなどを使って飲ませる治療のことを言います
⇩強制給餌用パウダー
イースター ベッツセレクション ウサギ用ライフケアライフケア 90g
イースター
2015-04-01
うさぎのきわみ ライフサポート 栄養補給 介護食 100g × 3袋 セット (YokohaMartオリジナルポケットティッシュ付き)
ハイペット
OXBOW ハービィケアハーブ
Lambriar Vet
強制給餌は先述した肝リピドーシスの発生予防にも繋がります
見逃すと危険、急性胃拡張
急にパタっと食べなくなった・元気がなくなったという場合は、急性胃拡張になっている場合があります
急性胃拡張とは、胃の動きが悪くなるor胃の出口付近に毛玉などが詰まっている(閉塞している)などの原因により、胃の内容物が排出されずに胃内にどんどん溜まっていき、胃が急激に大きくなってしまう状態のことを指します
重篤なものだとショック状態になり、半日もしない内に亡くなってしまうケースもあります
(閉塞部近位消化管内への水分分泌に伴う血液量減少性ショック)
診断は触診、レントゲンで行います
胃は正常であれば、最後肋骨を少し越えるか越えないかくらいの大きさです
(⇩正常なサイズの胃)

胃拡張になると、最後肋骨を大きく越えてきます
(⇩急性胃拡張)

重篤なものほど、胃を触った時に硬結感がある時が多いように思います(私見)
治療には
内科的治療:鎮痛剤などを使いながら点滴を流して、循環を保ちながら胃の内容物が流れるように促す
外科的治療:開腹して胃の出口付近や小腸の入り口付近に詰まってる毛玉や未消化物を、手で揉みほぐして後方へ送り出すことで詰まりを解消する
の2つがあります
どちらを選択するかはうさぎの状態や獣医師の経験・判断により変わるので一概には言えません
この判断は非常に難しく、その理由として、治療開始時点では完全閉塞なのか不完全閉塞なのか判断するのが困難ということが挙げられます
要は何かが詰まってて流れてないのか、ただ胃腸の動きが悪くなって流れてないのかがわからないということです
完全閉塞なら外科的に除去しないと改善は難しいですし、不完全閉塞だったならせっかく開腹しても取り除く物がありません
その為、基本的には軽度であればまずは内科治療で反応を見て、改善なく悪化してくるなら外科に進む
重篤な状態であれば最初から外科を検討するというのが大まかな方針になると思います
自分の経験的には、多くの場合は内科的治療で改善が可能であると思っており、外科に進むことはあまりありません
内科治療を行なった胃拡張の145例中130例(89%)で改善し、平均治療期間は3日間だったというSchuhmannらの報告もあります(Medical treatment of 145 cases of gastric dilatation in rabbits)
また、局所麻酔薬であるリドカインを持続点滴することで改善率が上がったという報告もあり、この論文を読んでから実施するようにしていますが、確かに以前より生存率が上がったかなという感触は得ています
・消化管閉塞に対してリドカイン(75-100μg/kg:CRI:1-3日間)投与群は、非投与群より7.7倍生存率が高かった(89.7%)
・ウサギでのリドカインの副作用のリスクは低
・輸液量の中央値は120ml/kg/day(非投与群:180ml/kg/day)
・退院or死亡までの中央値は両群とも1日、経過が長いウサギは4倍生存率が高かった https://t.co/vh2my8wKUG
— 獣医師 脱兎マン(25年春 大阪で開業) (@dattman2024) April 10, 2024
・消化管閉塞に対してリドカイン(75-100μg/kg:CRI:1-3日間)投与群は、非投与群より7.7倍生存率が高かった(89.7%)
— 脱兎マン@白兎どうぶつ病院 25年春開業 (@dattman2024) April 10, 2024
・ウサギでのリドカインの副作用のリスクは低
・輸液量の中央値は120ml/kg/day(非投与群:180ml/kg/day)
・退院or死亡までの中央値は両群とも1日、経過が長いウサギは4倍生存率が高かった https://t.co/vh2my8wKUG
その為、当院の治療方針としては
初期対応として、軽度であれば点滴と鎮痛剤の皮下投与、中程度以上であれば静脈点滴・リドカイン持続点滴で循環の改善と疼痛管理
低体温であれば保温
胃のサイズや硬結感、うさぎの沈鬱具合により無麻酔で経鼻カテーテル、もしくは鎮静下で経口的にチューブを入れて、胃の内容物を抜去し減圧を試みます
内科的治療を開始してから半日〜1日しても改善が無く、むしろ悪化している場合に開腹を検討するという感じになります
注意点として、急性胃拡張の場合、鬱滞の治療として記述した消化管運動促進薬や強制給餌は基本的には禁忌になります
胃の内容物が流れていかないから苦しいのに、そこに更に給餌をしてしまうと余計苦しくなってしまう為です
消化管運動促進薬は、胃拡張の原因が完全閉塞だった場合に病態を悪化させてしまう可能性があります
その為、飼い主さんが鬱滞だと自己判断して投薬や強制給餌を行うのには、一定のリスクがあるということになります
当院でも、鬱滞を繰り返す子に対して、消化管運動促進薬を常備薬として欲しいと言われた場合に処方することもありますが、これらのリスクを説明し、軽度の食欲低下の場合に限って内服や強制給餌を許可し、食欲廃絶の場合は直ぐに来院してとお伝えするようにしています
胃拡張の治療に関しては、これをすれば絶対助かるといったものが無く、どんなに手を尽くしても亡くなってしまうこともあります
ただ、対応が早ければ救命率が上がるのは間違いありません
おかしいなと思ったら出来る限り早く受診しましょう
夜間救急について
夜間に異変を感じた時、対応してくれる病院が行ける範囲内にあるのかを日頃から確認しておくのも大事です
当院は、診察券のあるうさぎさん(初診ではない方)に限って、夜間診療も行う予定です
かかりつけにするには遠いな、でも近くに夜間でうさぎ診てくれるところが無いなという方も、一度診察にお越し頂ければ、いざという時に対応します
※あくまで獣医師1人で対応するので24時間365日対応できる訳ではありません、他にも候補を見つけておいて頂くのが無難です
※初診も診て欲しいという声も頂きますが、初診の方は行くと言ったのに来ない、診察が終わってからお金がなくて払えないと言う、などの病院側が抱えるリスクが大きい為、原則としてお断りしています、原則として(大事なことなので2回言いました)
参考文献
エキゾチック臨床vol.20(学窓社)
ウサギの医学(緑書房)


